Επιδημιολογία

Ο καρκίνος της αποχετευτικής μοίρας (νεφρική πύελος, ουρητήρας) είναι σχετικά σπάνιο νεόπλασμα, είναι συχνότερο στους άνδρες και η μέση ηλικία εμφάνισης είναι τα 65 έτη. Σε ποσοστό 17% συνυπάρχει με όγκο στην ουροδόχο κύστη. Οι όγκοι της αποχετευτικής μοίρας είναι σε ποσοστό 60% διηθητικοί κατά την αρχική διάγνωση, ενώ υπάρχει 22-47% πιθανότητα υποτροπής του καρκίνου ανώτερου ουροποιητικού στην ουροδόχο κύστη.
Προδιαθεσικοί παράγοντες που έχουν ενοχοποιηθεί αποτελούν το κάπνισμα και η επαγγελματική έκθεση σε χημικά.
Συμπτώματα-Διάγνωση

Το συχνότερο σύμπτωμα είναι η ανώδυνη μικροσκοπική ή μακροσκοπική αιματουρία στο 80% των ασθενών , ενώ συμπτώματα όπως οσφυικό άλγος, ψηλαφητή κοιλιακή μάζα και απώλεια βάρους είναι λιγότερο συχνά και συνοδεύονται κατά κανόνα από τοπικά προχωρημένη η μεταστατική νόσο.
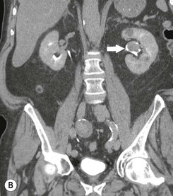
Μέθοδο εκλογής στη διάγνωση της νόσου αποτελεί η αξονική πυελογραφία με πολύ υψηλή ευαισθησία και ειδικότητα. Είναι πολύ σημαντικό να διενεργείται και κυστεοσκόπηση για τον αποκλεισμό συνυπάρχουσας βλάβης στην ουροδόχο κύστη. Η κυτταρολογική ούρων έχει θέση ως συμπληρωματική εξέταση κατά τη διερεύνηση της μικροσκοπικής αιματουρίας, παρότι το αρνητικό αποτέλεσμα έχει χαμηλή διαγνωστική αξία.
Οι ασθενείς στους οποίους ανευρίσκεται έλλειμμα σκιαγράφησης στην αξονική πυελογραφία πρέπει να υποβάλλονται σε διαγνωστική ουρητηροσκόπηση και λήψη υλικού προς βιοψία από τις ύποπτες περιοχές ώστε να γίνει σωστή σταδιοποίηση και βέλτιστη αντιμετώπιση της νόσου.
Θεραπεία
Θεραπεία εκλογής αποτελεί η λαπαροσκοπική/ρομποτική νεφροουρητηρεκτομή η οποία τα τελευταία χρόνια έχει ουσιαστικά εκτοπίσει την ανοικτή μέθοδο προσφέροντας παρόμοια ποσοστά επιτυχίας με πολύ χαμηλή περιεγχειρητική νοσηρότητα.
Όγκοι χαμηλού ρίσκου (μονήρης βλάβη <1 εκατοστό, χαμηλού βαθμού κακοήθειας) συνίσταται να αντιμετωπίζονται με ενδοσκοπικό καυτηριασμό του όγκου με laser. Η τεχνική προσφέρει υψηλά ποσοστά επιτυχίας ενώ διατηρεί τον πάσχοντα νεφρό, με την υποσημείωση ότι απαιτεί ένα πολύ εντατικό folllow-up, ώστε να διαγνωστούν έγκαιρα τυχόν υποτροπές, ενώ δεν πρέπει να παραλείπεται και ο τακτικός έλεγχος της ουροδόχου κύστεως με κυστεοσκόπηση.
